చైనాలో పురుషుడికి గర్భాశయం.. 20 ఏళ్లుగా రుతుక్రమం.. ఆపై ఆపరేషన్

ఆదివారం, 10 జులై 2022 (00:39 IST)
Man
చైనాలో పురుషుడికి గర్భాశయం వున్న వింత ఘటన వెలుగు చూసింది. 20ఏళ్లుగా ఓ పురుషుడికి రుతుక్రమం అవుతోంది. మూత్రంలో రక్తం, తీవ్రమైన కడుపునొప్పి రావడంతో వైద్యుడి వద్దకు వెళ్లిన ఆ వ్యక్తికి గర్భాశయం వున్న విషయం తెలిసి షాక్ తప్పలేదు. ఇంకా అతనికి అండాలు విడుదలవుతున్నట్లు గుర్తించారు. జీవశాస్త్రపరంగా అతడు మహిళ అని నిర్ధారించారు.
 
నైరుతి చైనాలోని సిచువాన్ ప్రావిన్స్‌కు చెన్ లీ (పేరు మార్చారు) అనే వ్యక్తికి 20 ఏళ్లుగా మూత్రంలో రక్తం వస్తున్నది. ప్రస్తుతం అతడి వయస్సు 33 ఏళ్లు. యుక్తవయస్సులో ఉన్నప్పుడు మూత్రవిసర్జన సమస్య ఉండడంతో ఆపరేషన్ చేయించుకున్నాడు. 
 
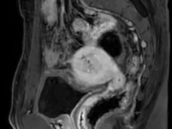
వైద్యులు అతడికి స్కానింగ్ తీయగా, షాకింగ్ విషయం బయటపడింది. అతడికి గర్భాశయం, అండాశయాలతో సహా స్త్రీ పునరుత్పత్తి అవయవాలు ఉన్నాయని తేలింది. దీంతో స్త్రీ పునరుత్పత్తి అవయవాలను తొలగించుకోవాలని నిర్ణయించుకున్నాడు. కాగా, గత నెలలో అతడికి స్పెషలిస్ట్ హాస్పిటల్‌లో మూడు గంటలపాటు శస్త్రచికిత్స విజయవంతంగా జరిగింది.

వెబ్దునియా పై చదవండి

సంబంధిత వార్తలు